Warum ist die Gesundheit unserer Zähne wichtig?
Als Fachkraft erlebe ich häufig, dass der Gesundheit unserer Zähne nicht viel Bedeutung beigemessen wird – bis ein ernsthafteres Problem auftritt, etwa Schmerzen, Entzündungen oder allergische Reaktionen. Ich erinnere mich, dass meine Eltern oft sagten, ich solle auf meine Augen, mein Gesicht, mein Herz und meine Gelenke achten, aber darauf, dass ich auch auf meine Zähne achte, hörte ich irgendwie nie. Natürlich bestanden sie immer auf dem abendlichen Zähneputzen und darauf, nicht so viele Süßigkeiten zu essen, aber das schien nie so entscheidend zu sein.
Dabei wäre es so wichtig, bereits kleinen Kindern ein Bewusstsein zu vermitteln, das den Körper als Ganzes, als zusammenhängendes System betrachtet. Eine ganzheitliche Sichtweise, die besagt, dass wenn wir nicht auf die Gesundheit der Mundhöhle achten, wir damit beispielsweise auch nicht richtig auf unser Herz, unser Immunsystem oder unsere Gelenke Acht geben. Oft habe ich auch das Bild vor Augen, wenn ich an meine Großeltern, Tanten oder Onkel denke: Sie lächeln mich aus meinen verschwommenen Erinnerungen mit zahnlosem Lächeln an. Dabei sind unsere Zähne genauso ein Teil unseres Körpers fürs ganze Leben wie etwa unsere Augen, Ohren oder Finger. Unsere Zähne müssten nicht vorzeitig ausfallen. Früher gab es zwar weder Zahnbürsten noch Zahnpasta, geschweige denn Interdentalreiniger, aber seien wir ehrlich: Damals gab es auch nicht so viele raffinierte und verarbeitete Lebensmittel. Wir mussten kauen, und das Kauen unterstützte die natürliche Selbstreinigung der Mundhöhle. Heute, mit unseren weichgekochten Speisen und dem geringeren Verzehr von Obst und Gemüse, ist die Rolle des Kauens in den Hintergrund gerückt.
Rák Borbála, klinische Dentalhygienikerin

Ich bin in einem kleinen Dorf aufgewachsen, wo ich schon als Kind verstanden habe, wie viel es bedeutet, von liebevoller Fürsorge umgeben zu sein. Diese Atmosphäre prägte auch meine Zukunftsvision – ich fühlte, dass das Gesundheitswesen der Bereich ist, in dem ich mich wirklich finden und mich anderen wirkungsvoll widmen kann.
Obwohl ich 2006 gezwungen war, meine direkte Laufbahn im Gesundheitswesen vorübergehend auf Eis zu legen, wusste ich die ganze Zeit, dass dies nur ein vorübergehender Zustand war. 2017 konnte ich dann, mit einer gesicherten Grundlage im Rücken, meinen Wunsch wieder in den Vordergrund stellen, Menschen im Gesundheitswesen dienen zu können.
Als zahnärztliche Assistentin und später als Dentalhygienikerin durfte ich persönlich von den besten Fachkräften lernen, und natürlich ist dieses Lernen ein Leben lang nötig, denn mein Beruf ist wohl einer der sich am intensivsten entwickelnden und wandelnden Bereiche innerhalb der Medizin.
Ich glaube daran, dass wir mit einem schönen Lächeln ohne Worte miteinander kommunizieren können – etwas, das in der heutigen Welt nicht nur sehr nötig, sondern auch zunehmend gefragt ist. Mein Ziel ist es, die Bedeutung zahnärztlicher Behandlungen, vor allem aber professioneller Praxisreinigungen und Zahnsteinentfernungen, für alle sichtbar zu machen.
Mittlerweile habt ihr vermutlich alle festgestellt, dass die Qualität der öffentlichen Gesundheitsversorgung nicht immer beruhigende Lösungen für unsere Probleme bietet. Privatmedizinische Leistungen belasten hingegen häufig das Familienbudget. Das ist in der Zahnmedizin nicht anders.
Anstatt nun jedoch darauf einzugehen, warum zahnärztliche Behandlungen teuer sind, möchte ich darauf hinweisen, dass langfristig die ökonomischste Lösung für Probleme in der Mundhöhle regelmäßige zahnärztliche Zahnsteinentfernung und Kontrolluntersuchungen sind – und zwar bereits im Kindesalter.
Wenn du erst so weit bist, dass deine Zähne, dein Zahnfleisch oder dein Kiefer weh tun, dann ist das bereits eine sehr konkrete Warnung deines Körpers, dass etwas nicht stimmt – du solltest einen Fachmann, einen Zahnarzt, aufsuchen. Ich muss allerdings anmerken, dass viele Menschen auch dann noch nicht den Mut aufbringen, zum Zahnarzt zu gehen, was leider kurzfristig bereits zu bleibenden, den ganzen Körper betreffenden Schmerzen, Entzündungen und sogar schweren Organstörungen führen kann. Die Blutgefäße in der Mundhöhle können die angesammelte bakterielle Flora, deren Toxine und Stoffwechselprodukte über das Blut zu umliegenden oder ferneren Organen transportieren, was somatische Reaktionen, das Aufflammen latenter Erkrankungen oder die Verschlechterung bereits bestehender Krankheiten verursachen kann.
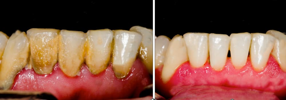
Noch schwieriger wird es, wenn im Mund und dessen Umgebung keine auffälligen Symptome zu erkennen sind. Da die meisten Menschen überraschend wenig Zeit für eine richtige Mundhygiene und deren regelmäßige Kontrolle durch Fachpersonal aufwenden, können Zähne und das umliegende Zahnfleisch von einem symptomfreien Zustand in eine chronische Erkrankung übergehen – sowohl das Ertragen als auch die Behandlung solcher Zustände erfordert unendliche Geduld, Demut und Energie. Und selbstverständlich – nicht zuletzt – dann auch erhebliche finanzielle Aufwendungen. Häufig höre ich von Patientinnen und Patienten: „Ich habe Glück, dass ich seit zehn Jahren nicht beim Zahnarzt war, jetzt komme ich nur, weil ich manchmal ein wenig Zahnschmerzen an bestimmten Stellen spüre oder mein Zahnfleisch scheint in letzter Zeit etwas blutiger zu sein.“ Oder: „Ich habe die Zähne meines Vaters geerbt; er hatte mit 70 fast noch alle Zähne, also kann ich damit doch auch keine Probleme haben – es tut überhaupt nicht weh, höchstens Zahnstein ist da, aber es schmerzt nichts.“ In solchen Momenten bin ich oft schon im Voraus gespannt, was ich in der Mundhöhle vorfinden werde. Massiver, über viele Jahre angesammelter Zahnstein ist einer der größten Feinde nicht nur der Zähne, sondern auch des Zahnfleisches, des Knochens und unseres allgemeinen Gesundheitszustands. Bis dahin hat sich eine so markante orale Biom- bzw. bakterielle Flora aufgebaut, dass deren Destabilisierung und Neutralisierung jahrelange, konsequente Arbeit erfordert. In der Zwischenzeit infizieren die Bakterien bereits seit Jahren andere Organe des Körpers, schwächen das Immunsystem und durch die Degeneration des Stützgewebes der Zähne fallen scheinbar gesunde Zähne einfach aus.

Dabei ist das Rezept für gute Mundhygiene sehr einfach.
Zwei Dinge tragen dazu bei: Erstens regelmäßiges und richtiges Zähneputzen, zweitens regelmäßige zahnärztliche Mundhygiene-Behandlungen in der Praxis. Die beiden Maßnahmen sind nicht austauschbar, sie ergänzen einander; beide sind gleichermaßen wichtig und notwendig. Bei meinen Behandlungen liegt der Schwerpunkt nicht nur auf der Entfernung von Zahnstein, sondern zunehmend auch auf der nachgewiesenermaßen effektiven, gezielten Entfernung von Biofilm.
Der Biofilm, diese einige Zellschichten dicke bakterielle Plaque, die mit bloßem Auge unsichtbar ist, kann die Beschaffenheit der oralen Flora bestimmen – ob sie kariesfördernd oder parodontalerkrankungsfördernd ist. Obwohl der entfernte Biofilm bereits nach fünf Minuten wieder auf der Zahnoberfläche neu entsteht, geben wir dem Körper durch regelmäßige Entfernung die Möglichkeit, je nach dem aktuellen Zustand des Immunsystems ein Gleichgewicht zu halten, sodass die Bakterien im Mund und das orale Biom ausgeglichen bleiben können. Ja, Balance ist auch in der Mundhöhle der Schlüssel.
Bei einer einzelnen Praxisreinigung gebe ich meinen Patientinnen und Patienten maßgeschneiderte, praktische Tipps und Ideen mit, wie sie ihre häusliche Mundpflegeroutine noch weiter perfektionieren können. Denn richtig Zähne putzen ist gar nicht so einfach, wie man denken könnte. Wie ich gern sage: Für die Zähne ist die Reinigung wie Güte für die Seele.
In ein paar Sätzen muss ich natürlich auch erwähnen, dass es Fälle gibt, in denen jemand regelmäßig zahnärztliche Behandlungen erhält, und trotzdem Zähne verliert oder der Zustand nicht beruhigend ist.
Leider habe ich bei ersten Begegnungen mit einigen Patienten Sätze gehört wie: „Ich war vor drei Wochen zur Zahnsteinentfernung“ (obwohl sichtbar viel Zahnstein vorhanden ist, also nicht erst drei Wochen alt), oder „man hat mir vor Kurzem eine Füllung gemacht und der Arzt sagte, alles sei in Ordnung“ (obwohl noch mehrere Zähne kariös sind), oder schlicht: Es besteht eine chronische Parodontalerkrankung, die trotz jahrelanger regelmäßiger Zahnarztbesuche nie diagnostiziert wurde. Meine Berufseinstellung verbietet es mir, diese Versorgungsprotokolle persönlich zu verurteilen, aber ich denke, wie in allen Bereichen des Gesundheitswesens muss man in der Zahnmedizin wachsam und flexibel bleiben. Wir müssen den für uns passenden Zahnarzt oder Dentalhygieniker finden, bei dem wir das Gefühl haben, uns beruhigt anvertrauen zu können – fachlich und menschlich während der Behandlung zählen.
Der größte Feind eines gesunden Zahnhalteapparats ist also Belag und Zahnstein, die dauerhaft um die Zähne verbleiben. Zahnstein entsteht aus Belag auf den Zähnen und in den in Speichel gelösten Mineralstoffen. Die raue Oberfläche des Zahnsteins, die sich darin ansiedelnden Bakterien und die von ihnen produzierten Gifte lösen im benachbarten Zahnfleisch Entzündungen aus. Es ist nachgewiesen, dass das Vorhandensein von Zahnstein und Zahnfleischentzündung gesundheitsschädlich und zahnzerstörend wirkt (z. B. Herdgeschehen, Frühgeburten, Herzkrankheiten). Immer häufiger bitten uns Patientinnen und Patienten um einen Negativbefund bezüglich eines Herdgeschehens, da Anästhesisten und Chirurgen ihre Operationen nur nach Kenntnis eines solchen Befunds durchführen. In einem solchen interdisziplinären, gesundheitsbezogenen Teamansatz sehe ich die Zukunft des Vertrauens unserer Patientinnen und Patienten in uns.
An einem zahnsteinbelegten Zahn lässt sich übrigens auch kaum eine gute Füllung anfertigen. Manchmal kann man nicht einmal sehen, wo der Zahn endet und der Zahnstein beginnt. Langfristig führt die bestehende Zahnfleischentzündung tief im Inneren zum Knochenabbau. Das verursacht den Untergang des Zahnhalteapparats und damit die Lockerung und den Verlust der Zähne, wie ich bereits erwähnt habe. Über vieles könnte ich in dieser kleinen Einleitung noch sprechen oder einige Dinge detaillierter ausführen, zum Beispiel über die Bedeutung der zahnärztlichen Herdsuche (auch Zahnstein ist ein zahnärztlicher Herd), die ganzheitliche zahnmedizinische Sichtweise oder die Konditionierung von Kindern. Vielleicht wisst ihr viele Dinge nicht: warum es als Erwachsener so wichtig ist, nichts in den Mund eines Kindes zu lecken, denn die reife Flora eines Erwachsenen infiziert sofort das kindliche Biom. Oder warum es wichtig ist, dass die Person, die man küsst, gesunde Zähne hat. Es gibt also noch viele interessante Themen, und ich freue mich, wenn ihr mir schreibt, worüber ihr noch lesen möchtet oder wo es Fragen zur zahnärztlichen Versorgung gibt.
Bis dahin jedoch vergesst nicht: Gute Mundhygiene ist eine der Grundsäulen von Gesundheit, Anspruch und Schönheit. Gesundes Zahnfleisch ist die Grundvoraussetzung für ein strahlendes Lächeln und frischen Atem.
Vereinbart einen Termin bei mir!
Vereinbart einen Termin bei mir für eine umfassende zahnärztliche Reinigung und seid jetzt schon Teil davon, dass ihr durch den Erhalt eurer eigenen Zähne zugleich dazu beitragt, die Zähne eurer Bekannten, Verwandten und Kinder zu schützen – und so langfristig am meisten Zeit, Energie und Geld zu sparen.
Ich freue mich auf euch!
Rák Borbála
[email protected]